 |
糖尿病は血糖値が上昇する病気です。全身の細胞が血糖値の上昇によって悪影響を受け、特に血管が障害され様々な臓器障害が生じます。
動脈硬化による心筋梗塞・脳卒中、網膜症による失明、腎症進行による腎不全、神経障害による知覚麻痺などが糖尿病の合併症として知られています。
糖尿病は発症後早めに、食事内容やとり方に注意しウォーキングなどの運動を行うことで改善することが多い病気です。必要に応じて薬物治療も受け入れることが大切です。
健診などで糖尿病を指摘されても何も対策をとらずにいると、合併症発症の危険があります。合併症が出てしまうと回復は難しいことがあります。 |
これは糖尿病の合併症の1つ、糖尿病性腎症の経過を示した図です。
糖尿病発症後6年ほどで微量アルブミン尿が現れ、15年ほどして一般の検尿でも検出できる「蛋白尿」が現れると腎機能(糸球体ろ過量GFR)は急速に低下し、20年ほどで透析治療が必要になります。 |
 |
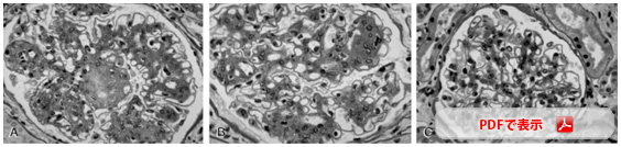
下の写真のように、早期腎症(微量アルブミン尿の時期)までに糖尿病を適切に治療すれば、糖尿病性腎症は改善することがわかっています。
A(左端)B(中央)が糖尿病性腎症の腎糸球体像
糖尿病の治療により正常の糸球体(C;右端)に回復する |
 |
| (Fioretto P ら; N Engl J Med 339:65-75, 1998) |