学術活動
 
ご紹介する学術活動を通して身につけた「総合力」で診療をおこないます。
1)内科の診療と研究
新潟大学医歯学総合研究科/医歯学総合病院(第二内科)〈荒川正昭教授、下條文武
教授、成田一衛教授〉に在籍し、これまで診療・研究・教育を担当してきました。
日本内科学会認定「総合内科専門医」の資格を取得しています。

日本内科学会は、内科医として広い知識と練磨された技能をそなえた、優れた臨床医を社会におくり、社会の人々がより高い水準の医学・医療の恩恵を受けられるよう社会の福祉に貢献するため、総合内科専門医制度を設けています。優れた内科臨床医を育成するため、一定レベル以上の実力をもち信頼される内科医を「認定内科医」として認定し、さらに高い水準の内科診療能力を備えた認定内科医を「総合内科専門医」として認定しています。
詳しくは内科学会のホームページをご覧ください。
http://www.naika.or.jp/nintei/seido/
http://www.naika.or.jp/meibo/s16.html

著書・論文:(医学教科書/総説/原著論文の執筆)

坂爪実:病気と薬 パーフェクトBOOK 2012(分担執筆)薬局増刊号, 2012
坂爪実: Dynamic Medicine(分担執筆)下条文武,斎藤康(編), 西村書店

坂爪実、下条文武:臨床検査ガイド(分担執筆)和田攻(編),文光堂

坂爪実:病気と薬 パーフェクトBOOK 2010(分担執筆)薬局増刊号, 2010

坂爪実、下条文武:内科疾患の診断基準・病型分類・重症度,(分担執筆), 2005

坂爪実、下条文武:早期診断と臨床検査 日本内科学会雑誌, 2005

坂爪実、下条文武:臨床医の立場から 私の必要な検査 検査と技術, 2003

坂爪実、下条文武:アポEフェノタイプ 日本臨床, 1999

坂爪実、 他:脾過誤腫を合併したインスリノーマ 日本内科学会雑誌, 1989

坂爪実、他:亜急性壊死性リンパ節炎 厚生連医誌, 1986

2)腎臓病の診療と研究
平成22年まで新潟大学医歯学総合病院で腎疾患・高血圧・糖尿病の専門診療を担当していました。
日本腎臓学会認定「腎臓専門医」、日本透析医学会認定「透析専門医」の資格を取得しています。
http://www.jsn.or.jp/specialist/
http://www.jsdt.or.jp/jsdt/238.html
 腎臓は尿をつくる臓器ですが、全身を映す鏡です。さまざまな病気(高血圧、糖尿病、心臟病、肝臓病、脂質異常症、血液病など)が腎臓に影響を与え、腎臟の異常を引き起こします。また、ほとんどの薬が腎臓から尿へ排泄されるため、腎機能が低下していると薬の血中濃度が上昇し副作用が出やすくなります。腎臓の機能に応じた薬量の調節が必要です。
 また血圧は腎臓がその高低を決定しています。腎臓の血液(体液)中の塩分(NaCl;塩化ナトリウム)を尿に排泄する力が弱いと、体液中の塩分量が増加、同時に水分をため込んでしまい、血圧が上昇します。ですから、血圧のコントロールには塩分制限が有効です。
 腎臓の機能が50%以下に低下すると、糖尿病、高血圧や脂質異常症と同じように血管病の原因となることが分かっています。このような状態を慢性腎臓病(CKD)と呼んでいます。CKDでは糖尿病、高血圧や脂質異常症も合併していることが多いので、総合的に診療を受ける必要があります。

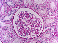
腎糸球体ー腎臓内部の顕微鏡写真/糸球体は血漿を濾過して血液を浄化しています。

著書・論文:(医学教科書/総説/原著論文の執筆)

坂爪実、下条文武:柏原直樹,南学正臣(編),急速進行性糸球体腎炎,ANCA関連腎炎 EBM腎臓病の治療, 2008

坂爪実、下条文武:血尿. 症候から迫る内科診療-典型例と非典型例によるアプローチ-,2007

坂爪実、下条文武:GFR測定の実際. 日本腎臓学会(編),腎機能検査(GFR)・尿蛋白測定ガイドライン, 2003

坂爪実、下条文武:糸球体機能検査.医学の歩み -腎疾患 State of arts 2003-2005, 2003

Quantitative Histological Analysis of SM22α (Transgelin) in an Adriamycin-Induced Focal Segmental Glomerulosclerosis Model.
Wang X, Sakatsume M, Sakamaki Y, Inomata S, Yamamoto T, Narita I.
Nephron Exp Nephrol 23;120(1):e1-e11, 2011
Injured kidney cells express SM22α (transgelin): Unique features distinct from α-smooth muscle actin (αSMA).
Sakamaki Y, Sakatsume M, Wang X, Inomata S, Yamamoto T, Gejyo F, Narita I.
Nephrology 16(2):211-218, 2011
Expression of SM22α (transgelin) in glomerular and interstitial renal injury.
Inomata S, Sakatsume M, Sakamaki Y, Wang X, Goto S, Yamamoto T, Gejyo F, Narita I.
Nephron Exp Nephrol 117(4):e104-13, 2011
Programmed initiation of hemodialysis for systemic amyloidosis patients associated with rheumatoid arthritis.
Kuroda T, Tanabe N, Kobayashi D, Sato H, Wada Y, Murakami S, Sakatsume M, Nakano M, Narita I.
Rheumatol Int 31(9):1177-82, 2011
Cystatin C is a sensitive marker for detecting a reduced glomerular filtration rate when assessing chronic kidney disease in patients with rheumatoid arthritis and secondary amyloidosis.
Sato H, Kuroda T, Tanabe N, Ajiro J, Wada Y, Murakami S, Sakatsume M, Nakano M, Gejyo F. Scand J Rheumatol. 39(1):33-37, 2010
Molecular heterogeneity of urinary albumin in glomerulonephritis: comparison of cardiovascular disease with albuminuria.
Nakayama A, Sakatsume M, Kasama T, Kawara T, Gejyo F, Isobe M, Sato K, Shiba K.
Clin Chim Acta 402(1-2):94-101, 2009

Nakayama A, Sakatsume M, Kasama T, Kawara T, Gejyo F, Isobe M, Sato K, Shiba K. Molecular heterogeneity of urinary albumin in glomerulonephritis: comparison of cardiovascular disease with albuminuria. Clin Chim Acta. 402(1-2):94-101, 2008

Ogawa A, Sakatsume M*, Wang X, Sakamaki Y, Tsubata Y, Alchi B, Kuroda T, Kawachi H, Narita I, Shimizu F, Gejyo F: SM22a:The novel phenotype marker of injured glomerular epithelial cells in anti-glomerular basement membrane nephritis. Nephron Exp Nephrol 106(3):e77-e87, 2007

Sakatsume M*, Kubota R, Ogawa A, Narita I, Matsuda T, Shiba K, Gejyo F: The rapid and sensitive electrophoresis of urinary protein clearly reveals the pathophysiological feature of renal diseases. Nephrology 12(2):191-196, 2007

Tsubata Y, Sakatsume M*, Ogawa A, Alchi B, Kaneko Y, Kuroda T, Kawachi H, Narita I, Yamamoto T, Gejyo F.: Expression of allograft inflammatory factor-1 in kidneys: A novel molecular component of podocyte. Kidney Int 70(11):1948-1954, 2006

Saga D, Sakatsume M*, Ogawa A, Tsubata Y, Kaneko Y, Kuroda T, Sato F, Ajiro J, Kondo D, Miida T, Narita I, Gejyo F.: Bezafibrate suppresses rat anti-glomerular basement membrane crescentic glomerulonephritis. Kidney Int 67(5):1821-1829, 2005

Song J, Sakatsume M*, Narita I, Gejyo F. Peroxisome proliferators-activated receptor gamma C161T polymorphisms and renal survival of Japanese patients with IgA nephropathy. Clin Genet 64(5):398-403, 2003

Sakatsume M*, Gejyo F: Effector T cells and macrophages in urine as a hallmark of systemic vasculitis accompanied by crescentic glomerulonephritis. Nephrol Dial Transplant 18(3):607-609, 2003

Kaneko Y, Sakatsume M, Xie Y, Kuroda T, Igashima M, Narita I, Gejyo F: Macrophage metalloelastase as a major factor for glomerular injury in anti- glomerular basement membrane nephritis. J Immunol 170(6):3377-3385, 2003

Sakatsume M*, Yuansheng Xie, Mitsuhiro Ueno, Hiroaki Obayashi, Shin Goto, Ichiei Narita, Noriyuki Homma, Kazuyuki Tasaki, Yasushi Suzuki and Gejyo F: Human glomerulonephritis accompanied by active cellular infiltrates shows effector T cells in urine.  J Am Soc Nephrol 12(12):2636-2644, 2001

Sakatsume M*, Kadomura M, Sakata I, Imai N, Kondo D, Osawa Y, Shimada H, Ueno M, Miida T, Nishi S, Arakawa M and Gejyo F: Novel glomerular lipoprotein deposits associated with apolipoprotein E2 homozygosity. Kidney Int 59: 1911-1918, 2001

Sakatsume M*, Narita I, Yamazaki H, Saito A, Nakagawa Y, Kuriyama H, Kuwano R, Gejyo F, Arakawa M: Down-regulation of interferon-g signaling by gene transfer of Stat1 mutant in mesangial cells. Kidney Int 57:455-463, 2000

Sakatsume M*, Saito A, Takeda T, Yamazaki H, Narita I, Nishi S, Nakagawa Y, Arakawa M: Mesangial cell-matrix interactions:Modulation of Matrix Expression in Mesangial Cells by Extracellular Matrices. Exp Nephrol 3:362-368, 1995


3)免疫学の研究
免疫は「細菌・ウイルス・がん」からからだを守るために必須です。しかし時に暴走してからだに害を及ぼします。アレルギーや自己免疫病がそれで、腎疾患のうちIgA腎症やANCA関連腎症などもその一つです。
免疫はリンパ球や単球、好中球といった免疫細胞が担当しています。細胞レベルの免疫研究をかつて行っていました(千葉大学免疫研究室/理化学研究所免疫・アレルギー科学総合研究センター:谷口克センター長、アメリカ合衆国食品医薬品局(FDA)サイトカイン研究所:Director, Dr. David S. Finbloomのもとで研究)。

免疫細胞ー好中球:
細菌などの外敵に対して生体を防衛しています。

著書・論文:(医学教科書/総説/原著論文の執筆)

坂爪実、斉藤隆、谷口克:免疫抑制因子. 日本生化学会(編), 新生化学実験講座12 分子免疫学 I(免疫細胞、サイトカイン),東京化学同人,1990
Ito S, Ansari P, Sakatsume M, Dickensheets H, Vazquez N, Donnelly RP, Larner A C, Finbloom DS: Interleukin-10 inhibits expression of both interferon alpha- and interferon gamma- induced genes by suppressing tyrosine phosphorylation of STAT1. Blood 93:1456-1463, 1999
Sakatsume M, Stancato LF, David M, Silvennoinen O, Saharinen P, Pierce J, Larner AC, Finbloom DS: Interferon gamma activation of Raf-1 is Jak1-dependent and p21ras-independent.  J Biol Chem 273(5):3021-3026, 1998
Stancato LF, Sakatsume M, David M, Dent P, Dong F, Petricoin EF, Krolewski JJ, Silvennoinen O, Saharinen P, Pierce J, Marshall CJ, Sturgill T, Finbloom DS, Larner AC: Beta interferon and oncostatin M activate Raf1 and Mitogen-Activated Protein Kinase thruogh a Jak1-dependent pathway.  Mol Cell Biol 17(7):3833-3840, 1997
Sakatsume M, Finbloom DS: Modulation of the expression of the IFNg receptor b chain controls responsiveness to IFNg  in human peripheral blood T cells. J Immunol 156: 4160-4166, 1996
Sakatsume M, Igarashi K, Winestock KD, Garotta G, Larner AC, Finbloom DS: The Jak kinases differentially associate with the alpha and beta (accessory factor) chains of the interferon gamma receptor to form a functional receptor unit capable of activating STAT transcription factors. J Biol Chem 270(29):17528-17534, 1995
Sakatsume M, Harada Y, Ling X, Yasumoto A, Kurosu A, Koseki H, Saito T, Kantake M, Taniguchi M: Autoreactive T-cell clones which suppress cytotoxic T cell responses. Int Immunol 3(4):377-384, 1991(学位論文)
Harada Y, Sakatsume M, Taniguchi M: Induction of mouse anti-melanoma cytotoxic and suppressor T cells in vitro by an artificial antigen, GM3-lactone.  Jpn J Cancer Res 81(4):383-387, 1990
Harada Y, Sakatsume M, Nores GA, Hakomori S, Taniguchi M: Density of GM3 with normal primary structure determines mouse melanoma antigenicity; a new concept of tumor antigen.  Jpn J Cancer Res 80(10):988-992, 1989